편도결석 생기는 이유와 제거법 – 입냄새 원인의 숨은 범인, 제대로 알고 관리하기
- 건강정보
- 2025. 6. 12. 16:01
편도결석 생기는 이유와 제거법 – 입냄새 원인의 숨은 범인, 제대로 알고 관리하기
양치질도 꼼꼼히 하고 충치도 없는데,
입냄새가 자꾸 나고 목에 이물감이 느껴진다면
의심해봐야 할 것이 바로 **편도결석(편도석)**입니다.
흔히 목젖 근처에 하얀색 알갱이처럼 생겨서
기침할 때 톡 튀어나오는 이 결석은
입냄새의 주범이자 만성 인후 불편감의 원인이 될 수 있습니다.
하지만 대부분의 사람들이 편도결석의 존재조차 모르고 지나치는 경우가 많습니다.
이번 글에서는 편도결석이 생기는 원인부터 자가진단, 제거 방법, 예방 생활습관까지
한 번에 정리해드립니다.
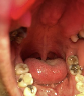
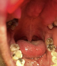
1. 편도결석이란?



항목 내용
| 정식 명칭 | 편도결석(Tonsil stone), 편도석 |
| 위치 | 입천장 뒤, 목젖 양옆에 위치한 편도(tonsil) 속 |
| 모양 | 작고 단단한 쌀알 크기의 하얀색 혹은 노란색 알갱이 |
| 냄새 | 심한 악취 동반 (황 화합물 때문) |
| 주된 증상 | 입냄새, 목 이물감, 삼킴 시 불쾌감 등 |
TIP:
편도결석은 염증의 부산물이 아니라,
편도의 구조적 요철 속에 음식물 찌꺼기와 세균이 뭉쳐 굳어진 것입니다.
2. 편도결석이 생기는 원인
원인 설명
| 편도구멍(편도와우) | 편도에는 선천적으로 요철과 틈이 많아 이물질이 쉽게 끼임 |
| 음식물 찌꺼기 잔류 | 삼키는 과정에서 소량이 남아 세균과 엉겨 굳음 |
| 구강 세균 번식 | 입속 세균이 단백질을 분해 → 황 화합물 생성 |
| 구강건조 | 침 분비가 줄면 자정작용 약화 → 결석 형성 가속 |
| 잦은 인후염 | 만성 염증으로 편도 구조가 깊어지며 축적 쉬워짐 |
| 면역력 저하 / 비염 / 알레르기 | 코 뒤로 흐르는 콧물도 편도 속에 고여 결석 유발 |
3. 편도결석 자가진단 체크리스트



아래 항목 중 2개 이상 해당된다면 편도결석을 의심해볼 수 있습니다.
- 이유 없이 입냄새가 자주 난다
- 목 한쪽에서 이물감이 느껴지거나, 걸리는 느낌이 있다
- 기침할 때 쌀알처럼 생긴 하얀 알갱이가 튀어나온 적 있다
- 목젖 양옆을 보면 하얀 점처럼 보이는 게 있다
- 삼킬 때 한쪽 목구멍이 무거운 느낌이 있다
- 코막힘이나 비염이 자주 있다
- 인후염이나 편도염이 자주 반복된다
4. 편도결석 제거 방법
1) 가벼운 자가 제거
방법 설명
| 면봉 이용 | 거울을 보며 조심스럽게 눌러서 꺼내기 |
| 구강 세정기 | 약한 수압으로 편도 홈 세척 |
| 세척기 사용 시 주의점 | 압력 너무 세면 출혈 위험, 가급적 낮은 압력 설정 |
| 따뜻한 소금물 가글 | 세균 억제 + 입 안 살균 작용 |
주의:
- 세게 누르거나 날카로운 도구 사용 금지
- 출혈·통증 동반 시 즉시 중단
- 잦은 반복은 편도 자극으로 오히려 염증 유발 가능
2) 의료기관에서 제거



상황 권장
| 자주 재발하거나 크기가 크고 깊은 경우 | 이비인후과 내원 |
| 고주파로 조직 응고 후 결석 제거 | 통증 최소화 |
| 반복적인 편도염 동반 시 | 편도선 절제 수술 고려 |
5. 편도결석 예방법
방법 설명
| 양치 + 치실 + 혀클리너 병행 | 구강 내 세균 최소화 |
| 구강세정제 활용 | 염화세틸피리디늄(CPC), 아연 함유 제품 추천 |
| 수분 섭취 충분히 | 입 마르지 않도록 관리 |
| 비염 / 알레르기 조절 | 콧물의 후비루 방지 |
| 소금물 가글 | 하루 1~2회로 구강 내 세균 억제 |
| 자극적 음식 줄이기 | 탄 음식, 단백질 과잉 섭취 피하기 |
| 정기적으로 편도 상태 확인 | 거울로 편도 상태 체크 |
6. 편도결석 관련 Q&A
Q. 편도결석을 꼭 제거해야 하나요?
A. 증상이 없고 작다면 굳이 제거하지 않아도 됩니다.
다만 입냄새, 이물감, 통증 등 증상이 있다면 제거를 권장합니다.
Q. 편도결석은 병인가요?
A. 아닙니다.
편도결석 자체는 질병은 아니지만, 구취와 인후 통증의 원인이 될 수 있기 때문에 관리가 필요합니다.
Q. 편도결석이 반복되면 편도 제거해야 하나요?
A. 자주 발생하고, 편도염까지 반복된다면 절제술을 고려할 수 있습니다.
단, 이비인후과 전문의의 판단이 필요합니다.